Najnovije vijesti
Objavljeno vijesti danas: 203
Pošalji priču
Imaš priču, fotografiju ili video?
liječnici u čudu

Nije mogao mokriti, a onda se liječnici šokirali kad su vidjeli zbog čega

CT snimka
Screenshot/Live science
VL
Autor
Vecernji.hr
08.09.2017.
u 12:37

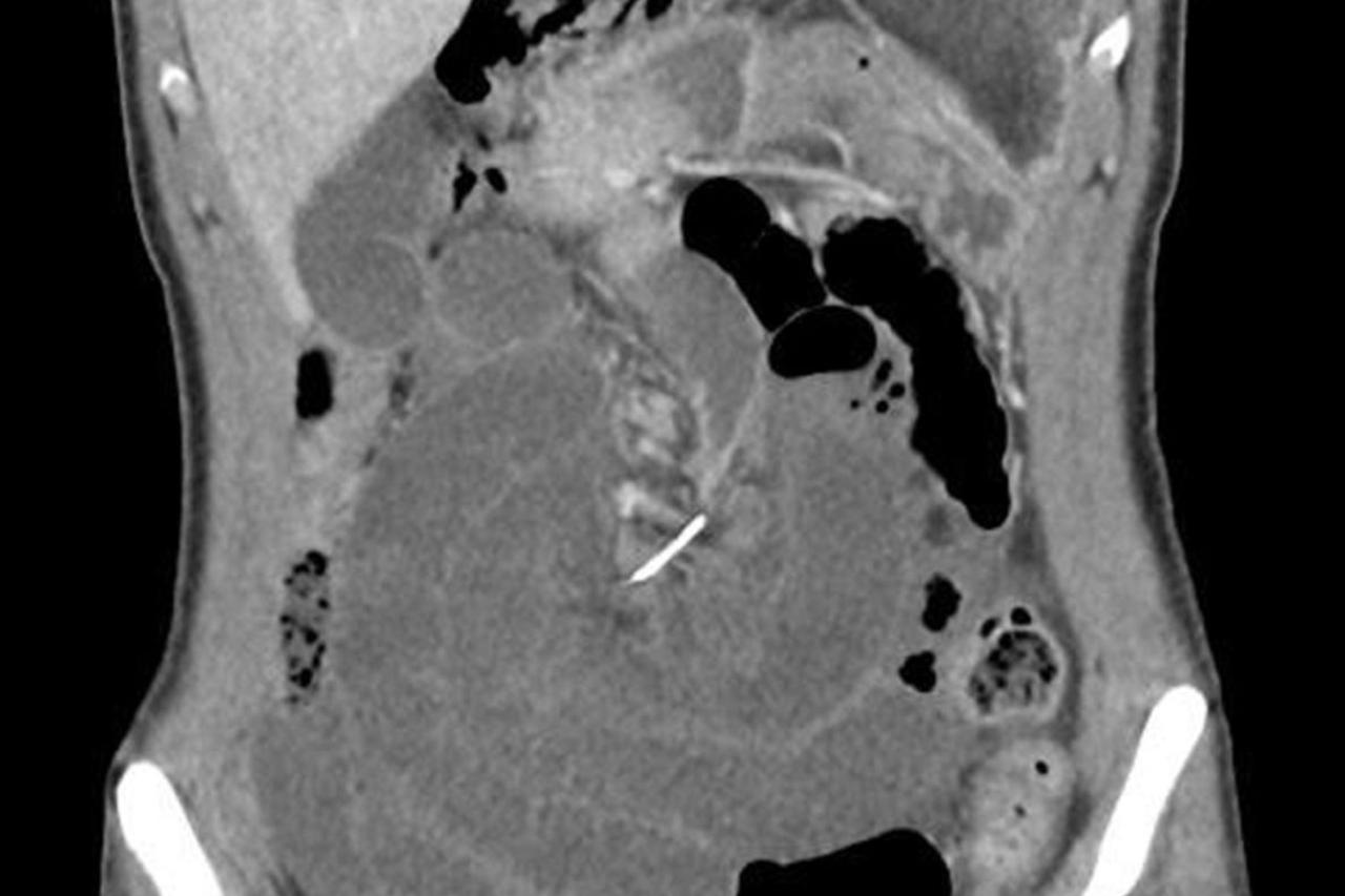
Pregled abdomena CT-om pokazao je nešto što dotad liječnici nisu vidjeli

Kad se muškarac iz Kalifornije star 64 godine javio u bolnicu zbog jakih bolova koje je trpio na lijevoj strani tijela i problema s mokraćnim mjehurom, liječnici su imali što vidjeti.

Pregled abdomena CT-om pokazao je nešto što dotad liječnici nisu vidjeli. Kamenac težine 770 grama, dimenzija 12 x 9,5 x 7,5 centimetara, veličine je nojeva jajeta. Prosječni kamenci koje pronađu u tijelima pacijenata teže oko 1,3 grama te ih je slučaj ovog muškarca itekako začudio.   

Liječnici su za The New England Journal of Medicine otkrili kako se radi o muškarcu koji je desetak godina ranije imao invazivni rak mokraćnog mjehura. U to vrijeme morali su mu ukloniti mjehur i od dijela njegovih crijeva formirati novi, što za posljedicu ima povećani rizik od nastanka kamenca, piše Live science.  

Muškarac je podvrgnut operaciji kako bi kirurzi izvadili veliki kamenac, dok su druge, manje, uklonili nakon laserskog razbijanja na manje dijelove.  

Prema Guinnessovoj knjizi rekorda, najveći kamenac ikad izvađen iz čovjeka težio je 1,9 kg, a dimenzije su mu bile 17,9 x 12,7 x 9,5 cm. 

Komentara 2

CR
Cropina
20:39 08.09.2017.

Čovjek je uzgajao stijenu

AU
austrougarskigeneral
14:55 08.09.2017.

uf kamen je imao u sebi

Važna obavijest
Sukladno članku 94. Zakona o elektroničkim medijima, komentiranje članaka na web portalu i mobilnim aplikacijama Vecernji.hr dopušteno je samo registriranim korisnicima. Svaki korisnik koji želi komentirati članke obvezan je prethodno se upoznati s Pravilima komentiranja na web portalu i mobilnim aplikacijama Vecernji.hr te sa zabranama propisanim stavkom 2. članka 94. Zakona.

Za komentiranje je potrebna prijava/registracija. Ako nemate korisnički račun, izaberite jedan od dva ponuđena načina i registrirajte se u par brzih koraka.

Želite prijaviti greške?

Još iz kategorije

Kupnja

Pretplata