Najnovije vijesti
Objavljeno vijesti danas: 4
Pošalji priču
Imaš priču, fotografiju ili video?
HIT HITOVA

Par se poseksao u MR-u, a i nakon 20 godina svi žele vidjeti tu fotografiju!

Foto: shutterstock
19.12.2019.
u 10:57

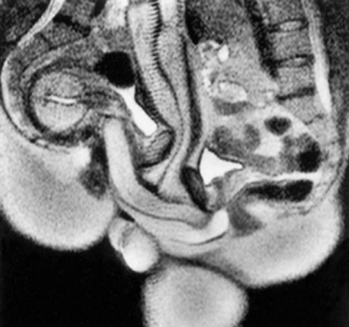
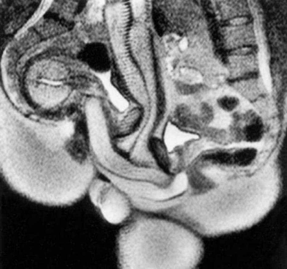
Istraživanje staro čak 20 godina najčitanije je istraživanje BMJ-a samo radi fotografija seksa.

Britanski časopis British Medical Journal, to jest BMJ, objavio je prve MRI fotografije ljudi koji se seksaju, a i kažu kako su te fotografije popularne i 20 godina nakon objavljivanja. Fotografije su bile dio istraživanja, koje je promatralo parove kako se seksaju u raznim pozama, koje je objavljeno 1999. godine. 

Glavno otkriće tog istraživanja je da penis poprima oblik bumeranga kada je u vagini, a do tada se mislilo da je ravan ili u obliku slova S. 

Također je pokazalo kako se maternica ne povećava tijekom seksa, što se protivilo tadašnjem mišljenju.

No, nitko u BMJ-u nije smatrao da je istraživanje kliniški ili znanstveno korisno, ali nakon objavljivanja to je postao jedan od najčitanijih BMJ-ovih članaka svih vremena, a čak je citiran u 130 drugih istraživanja i radova. 

Foto: BMJ

Samo u listopadu ove godine je downloadan 50 puta, čak 20 godina nakon objavljivanja. Autori istraživanja vjeruju da je downloadano toliko puta samo radi prikaza seksa, i to besplatnog, čak iako su fotografije crno-bijele. No, istraživanje živi dalje, a fotografije se prenose s generacije na generaciju. 

Hrvati sve više povećavaju penis bez odlaska pod nož: 

Ključne riječi

Komentara 5

Avatar rijetko kulturan
rijetko kulturan
12:46 19.12.2019.

Bitno da ti kažu ne mrdaj dok uređaj snima, ovi se seksali na veliko.

Avatar Fellinela
Fellinela
00:37 20.12.2019.

Znaš li gdje mogu naći ženu za jednu noć? Idite na > > > www.BredHot.com

DD
dobar.d
20:03 19.12.2019.

Znači tako izgleda velika koalicija?

Važna obavijest
Sukladno članku 94. Zakona o elektroničkim medijima, komentiranje članaka na web portalu i mobilnim aplikacijama Vecernji.hr dopušteno je samo registriranim korisnicima. Svaki korisnik koji želi komentirati članke obvezan je prethodno se upoznati s Pravilima komentiranja na web portalu i mobilnim aplikacijama Vecernji.hr te sa zabranama propisanim stavkom 2. članka 94. Zakona.

Za komentiranje je potrebna prijava/registracija. Ako nemate korisnički račun, izaberite jedan od dva ponuđena načina i registrirajte se u par brzih koraka.

Želite prijaviti greške?

Još iz kategorije

Kupnja

Pretplata