Najnovije vijesti
Objavljeno vijesti danas: 38
Pošalji priču
Imaš priču, fotografiju ili video?
POSLJEDICE

Šokantne snimke - evo kako teško djetinjstvo utječe na mozak

CT
Foto: Bruce Perry
02.11.2017.
u 22:17

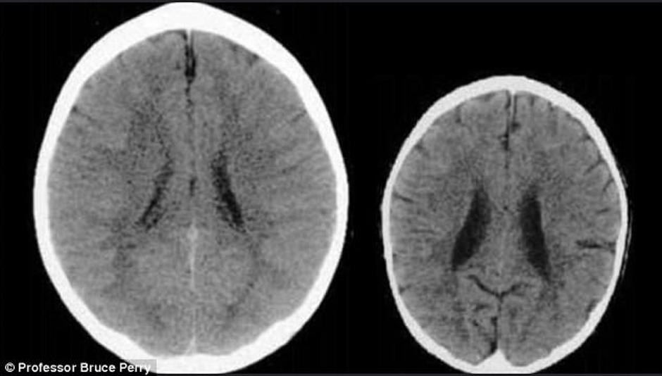
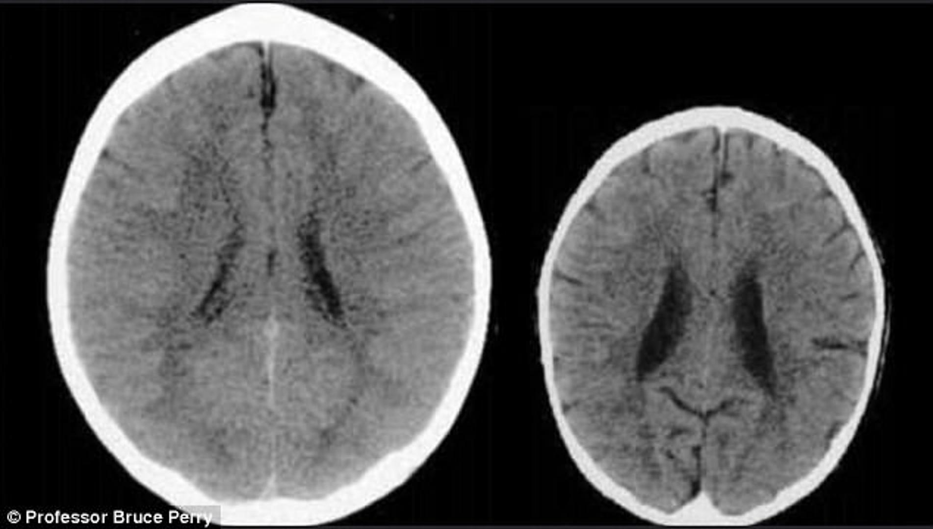
Slike su to koje pokazuju koliki utjecaj može imati teško djetinjstvo i kako se mozak razvija pod teškim okolnostima

Snimke mozgova dvaju djeteta pokazala su šokantne razlike. Podijelio ih je Bruce Perry, glavni psihijatar u teksaškoj bolnici.

Foto: Bruce Perry

Lijeva snimka pokazuje dijete koje je odraslo u okruženju koje ga je poticalo i ohrabrivalo, dok je desna snimka ona djeteta koje je bilo zanemarivano.

Slike su to koje pokazuju koliki utjecaj može imati teško djetinjstvo i kako se mozak razvija pod teškim okolnostima.

Ne samo da je mozak zlostavljanog djeteta manji, već su njegovi dijelovi na CT snimci puno mutniji.

Vjeruje se kako se zbog zanemarivanja i zlostavljanja djetetu nisu razvila osjetila sluha, mirisa i dodira - zbog ekstremnog zlostavljanja.

- Ove snimke ilustriraju negativan utjecaj zanemarivanja na mozak u razvoju - zaključuje Perry. 

 

Ključne riječi

Komentara 7

Avatar Le-Freak
Le-Freak
08:12 03.11.2017.

Sto su li prosli mozgovi koji znaju samo za mrznju prema svome okruzju i zato prate mrzilacku crvenu ideologiju.

Avatar Ledeni
Ledeni
08:29 03.11.2017.

Ja mislm da je većina komentatora na ovim stranicama zrela za psihijatra. Ne znaju razgovarati o ničemu osim o politici, a i tu stalno ponavljaju jedno te isto, kao papige. Izgleda da su imali izuzetno teško djetinjstvo pa im je mozak skroz zakržljao.

DE
deda1234
06:30 03.11.2017.

Nikakva novost... Snimaka depresivnog mozga barem na netu mozete nac na svakom cosku!

Važna obavijest
Sukladno članku 94. Zakona o elektroničkim medijima, komentiranje članaka na web portalu i mobilnim aplikacijama Vecernji.hr dopušteno je samo registriranim korisnicima. Svaki korisnik koji želi komentirati članke obvezan je prethodno se upoznati s Pravilima komentiranja na web portalu i mobilnim aplikacijama Vecernji.hr te sa zabranama propisanim stavkom 2. članka 94. Zakona.

Za komentiranje je potrebna prijava/registracija. Ako nemate korisnički račun, izaberite jedan od dva ponuđena načina i registrirajte se u par brzih koraka.

Želite prijaviti greške?

Još iz kategorije

Kupnja

Pretplata