4
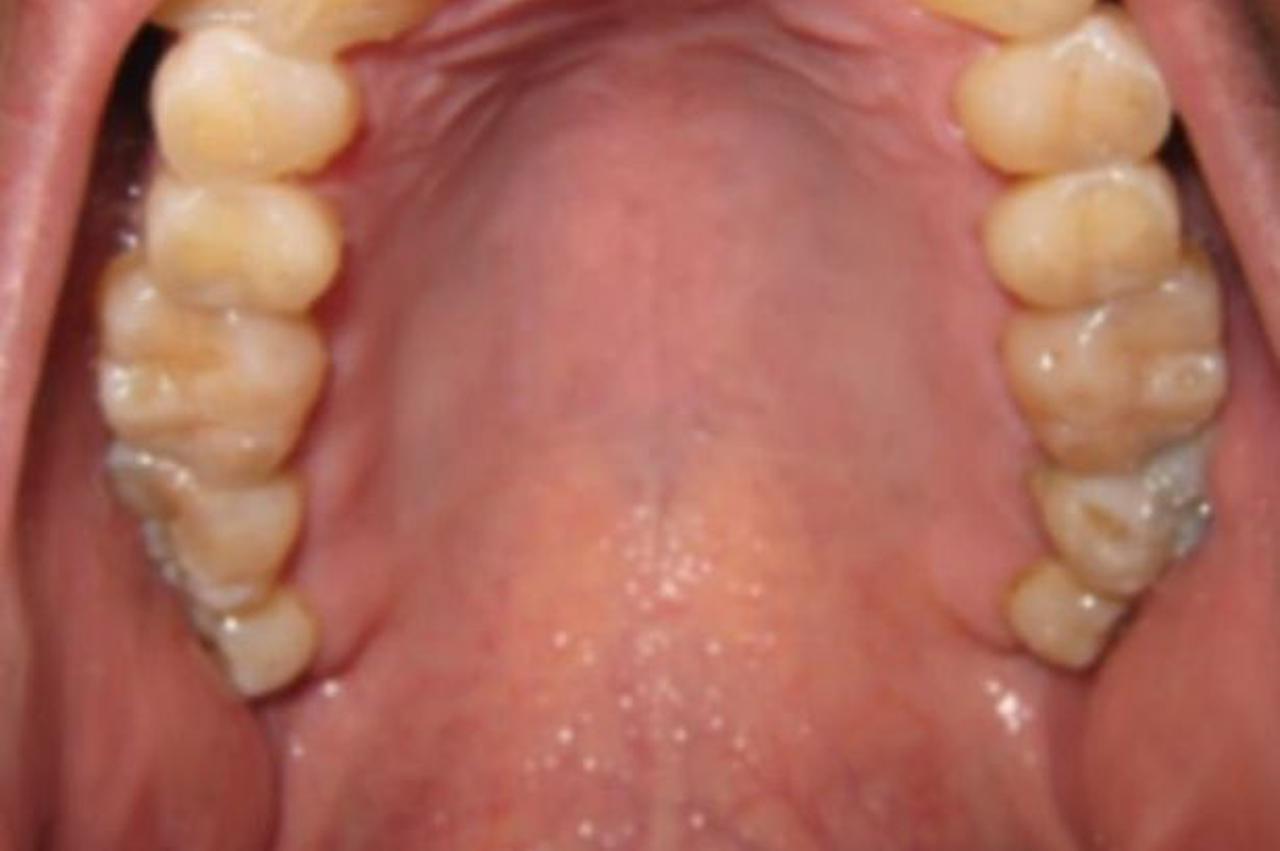
Neugodno crvenilo
Došao na redovni pregled kod zubara pa mu on otkrio nešto neobično u ustima
Oni su u njegovoj usnoj šupljini, odnosno na nepcu, uočili crvene lezije koje su nastale zbog prakticiranja oralnog seksa